가족의 건강처럼
중요한 것은 없으니까.
남아있는 치아의 개수가 치매 발병률과 관계가 있다는 사실 알고 계신가요?
저작기능은 뇌에 혈류, 산소 공급을 원활히 하도록 돕는데 치아상실로 인한 저작기능 저하로
주변 근육을 사용하지 않으면 피와 산소공급이 어려워져 뇌세포 파괴, 치매 발병률 증가로 이어지기도 합니다.
그렇기 때문에 통합치의학과입니다.
나이가 들어감에 따라 당뇨나 고혈압, 심장, 신장질환 등 전신질환을 가진 분들이 많고 그런 분들의 임플란트 시술은
고려해야 할 사항이 많아 섬세한 시술이 필요합니다.
통합치의학과는 치과 전 분야에서 응급상황과 전신질환 환자에 대한 대처가 가능하기 때문에
수련받은 통합치의학과 전문의에게 진료를 받으시는 것이 좋습니다.
치아가 별로 없는데
틀니가 불편하신가요?
치주질환이 심해졌거나 나이가 들면서 잇몸 상태가 안좋아져 치아를 받치고 있는 치조골이 많이 소실되면 치아가 흔들리다가 빠지기 시작합니다. 결국 치아가 얼마 남지 않게 되면 틀니나 임플란트를 고려하게 됩니다. 틀니는 위에 얹는 방식이라 씹을 때 잇몸에 압박이 가해지고 제대로 힘을 받기 어려워 불편합니다. 그래서 찾게 되는 것이 전악 임플란트입니다.
전악 임플란트란?
대부분의 치아를 상실한 경우 가장 좋은 치료방법 중 하나로 잇몸뼈에 임플란트를 식립 후 고정성 보철물을 연결하는 방식입니다. 틀니보다 힘이 훨씬 좋고 내 치아처럼 사용할 수 있어 편리합니다. 전체 치아 기능의 90% 정도로 회복이 가능하여 받으신 분들의 만족감이 높습니다.
적은 이물감
강한 저작력
자연스러움
탈착 불필요
임플란트 시
CT를 촬영하는 이유.
#정밀한 스캐닝
#낮은 방사선량
#오차 최소화
CT를 이용하면 잇몸을 절개하지 않고서도 환자의 구강구조를
정확하게 알 수 있을 뿐만 아니라 턱뼈의 구조와 치골의 폭과 길이,
골밀도까지도 정확하게 파악할 수 있어 최소 절개로 시술이
가능해집니다. 또한 상처가 아무는 기간이 짧고 출혈도 적습니다.
이런 분들께 필요합니다.
- 01
- 고령으로 치아가 모두 상실된 경우
- 02
- 틀니 사용이 불편하거나 부작용이 있는 경우
- 03
- 어떠한 이유로든 전체 치아가 상실된 경우
- 04
- 잇몸 염증으로 치아가 많이 흔들리며 약해진 경우
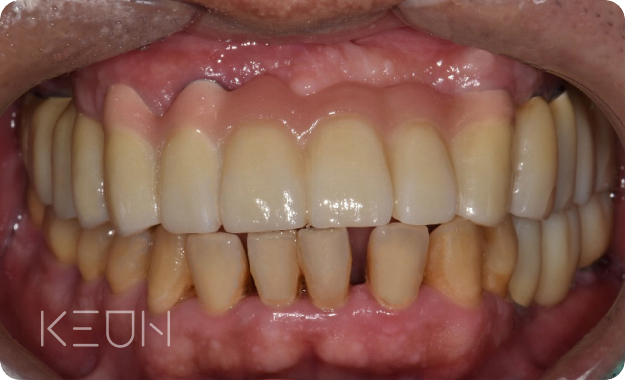
전악 임플란트 전후사진.

- Before
로그인 후 확인 하실 수 있습니다!- After

- Before
로그인 후 확인 하실 수 있습니다!- After
*모든 치료전/후 사진은 환자분의 동의하에 촬영 및 게시되었습니다.
빅케어+로
더 든든한 치과.