잠시 멈춘 순간이

휴식의 경험이 될 수 있도록

올소스토리
온라인상담

온라인 상담

네이버예약

네이버 예약

카카오상담

카카오 상담

온라인상담

온라인 상담

네이버예약

네이버 예약

카카오상담

카카오 상담

매복사랑니.

보이지 않아도 괜찮습니다.

보이지 않는 것도,
보이는 것도.

예쁘게 나온 사랑니를 뽑는 것도 무서운데
매복된 사랑니를 뽑는다는 공포는
말로 표현할 수 없을 것입니다.
서울큰치과에서는 숙련된 의료진의 노하우를 적용한 의식하진정요법으로 정확하고 안전하게 사랑니를 발치할 수 있습니다.

img-0501-1.jpg

사랑니를
발치하지 않으면.

img-0501-2.jpg

음식물 찌꺼기가 잘 껴서 충치나 잇몸질환, 구취의 원인이 되며, 다른 치아의 염증으로 전이될 수도 있습니다. 따라서 정확한 진단 후 깔끔하게 발치하는 것이 좋습니다.

#충치, 치주염 발생
#치아 뿌리 흡수
#염증으로 인한 통증

사랑니의 종류.

img-0501-3-1.jpg

수직으로 솟은 사랑니

가장 안쪽에 있는 사랑니는 칫솔이
잘 닿지 않아 관리가 어려워 충치나
잇몸 질환이 생기기 쉽습니다.

img-0501-3-2.jpg

가로로 나온 사랑니

바로 앞 어금니 뿌리를 압박해 염증을
일으키거나 턱뼈의 신경까지 손상시킬
수 있어 발치하는 것이 좋습니다.

img-0501-3-3.jpg

불완전 돌출 사랑니

비정상적인 위치에 매복되어 자란 사랑니는
염증과 통증을 일으킬 수 있으므로
발치하는 것이 좋습니다.

img-0501-4-1.png

사랑니 발치 전
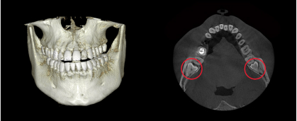
CT를 촬영하는 이유.

#정밀한 스캐닝 #낮은 방사선량
#오차 최소화

파노라마는 평면의 2차원적인 사진이고 치과용 CT는 3차원적인
사진으로 CT를 통해 사랑니의 매복 상태, 사랑니 뿌리와 신경의 위치
관계 등을 자세히 파악할 수 있습니다.

img-0501-4-2.jpg img-0501-4-3.png

이런 분들께 필요합니다.

  • 01
  • 사랑니 발치가 두려우신 분
  • 02
  • 한번에 여러개의 사랑니를 발치하고
    싶으신 분
  • 03
  • 장시간 입을 벌리는 것이 힘드신 분

우리만의
방식으로 진료합니다.

대표원장 상담

  • • 혈압, 당도, 설압 측정
    • 전신질환 체크
    • 의식하진정법 주의사항 교육
    • 동의서 작성

치료 당일 정밀검사

  • • 모니터링 장비로 혈압,
    맥박, 산소포화도 측정
    • 정밀 3차원 CT 및
    X-RAY 촬영
    • 공복 상태 체크

당일 사랑니발치

  • • 무통마취 장비로
    아프지 않은 마취
    • 무섭지 않은
    당일 의식하진정
    사랑니 발치

회복 후 귀가

  • • 회복실에서 회복
    • 주의사항 교육
    • 보호자 동행 귀가

치과치료, 큰 뜻을 품다.
서울큰치과

Online Consultation

온라인 상담

빠른 상담신청

Location

오시는길

  • 지하철 2호선 신정네거리역 1번출구
  • 건물 뒷편 건양주차장 무료 주차
  • 02.6095.1001
Clinic Hours

진료시간

  • 평일:AM 09:30 ~ PM 07:00
  • 화목:AM 09:30 ~ PM 08:30
  • 토요일:AM 09:30 ~ PM 02:00
  • 점심:PM 12:30 ~ PM 02:00
  • 토요일 점심시간 없음, 공휴일 및 일요일 휴진