온라인 상담
네이버 예약
카카오 상담
온라인 상담
네이버 예약
카카오 상담
지금, 우리
임플란트클리닉
치아교정클리닉
치아성형클리닉
2030
의식하진정요법
4050
의식하진정요법
60+
시니어케어
커뮤니티
지금, 우리
진료철학
인사말
전문의 소개
진료장비
진료안내
내부전경
오시는 길
임플란트클리닉
통합치의학과 전문의
의식하진정 드림팀
혈압측정부터 하는 치과
내과 협력/연계진료
통증케어+
빅케어+
치아교정클리닉
치과교정과 전문의
인비절라인
소아턱성장조절
청소년비발치교정
성인심미교정
중년건강교정
치아성형클리닉
디자인랩
미니쉬
라미네이트
잇몸성형
치아미백
2030 의식하진정요법
매복사랑니
다수충치
치과공포증
고도비만
턱관절/이갈이/마우스피스
4050 의식하진정요법
임플란트
전신질환자
불안장애
자연치아살리기
재치료
60+시니어케어
전악 임플란트
뼈이식 임플란트
임플란트 틀니
보험 임플란트
치매 어르신 복합치료
커뮤니티
서울큰TV
의식하진정요법 성공담
온라인 상담
서울큰 블로그
치과위생사의 하루
언론속 큰치과
치료전후사진
네이버리뷰
공지사항
치료전후사진
.
서울큰TV
의식하진정요법 성공담
온라인 상담
서울큰 블로그
치과위생사의 하루
언론속 큰치과
치료전후사진
네이버리뷰
공지사항
Total 6건
1 페이지
게시판 검색
치료전후사진 카테고리
전체
임플란트
사랑니발치
충치치료
신경치료
심미보철
잇몸치료
치아미백
Total 6건
1 페이지
임플란트
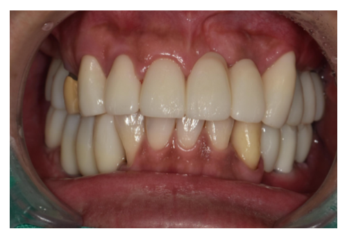
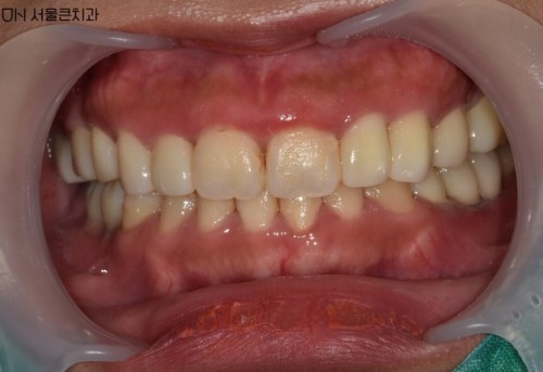
6 60대 남환 임플란트
• 위아래 틀니쓰시는 분으로 위아래 전체 임플란트를 원하시는..
작성자
손승환대표원장
작성일
03-18
조회
7
임플란트
5 60대 남환 임플란트
• 오른쪽 위 앞니가 없으신 채 몇 달 ..
작성자
손승환대표원장
작성일
03-18
조회
5
임플란트
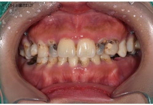
4 50대 남환 임플란트
• 정기적인 치아관리가 되지 않고 왼쪽 어금니가 없는채로 장기간 방치되어 잇몸뼈..
작성자
손승환대표원장
작성일
03-18
조회
4
임플란트
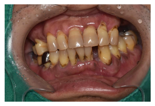
3 30대 남환 임플란트
• 경남 하동에서 고속버스타고 내원하시는 30대 남성 환자분이십니다. • 치과공포증으로 치과 방..
작성자
손승환대표원장
작성일
03-18
조회
4
임플란트
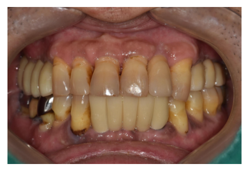
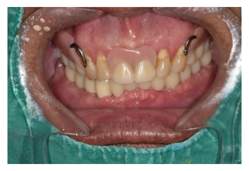
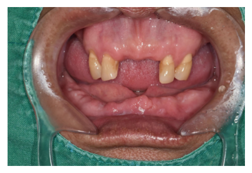
2 60대 남환 임플란트
• 상악 전체틀니 / 하악 부분틀니를 장착하고 계신 60대 남성 환자분입니다.• 뼈이식을 동반..
작성자
손승환대표원장
작성일
03-18
조회
3
충치치료
1 치과공포증 치료 케이스
안녕하세요.대표원장 손승환 입니다.오랫만에 블로그 글로 인사드리는 것 같네요.요근래 환자분들이 많이 찾아주셔서 너무 정신없..
작성자
손승환대표원장
작성일
03-15
조회
7
검색
검색대상
제목
내용
제목+내용
글쓴이
글쓴이(코)
검색어
필수
검색
닫기
Online Consultation
온라인 상담
상담신청
비밀글
인천 청라 마사지…
N
새글
25-12-18
상담신청
비밀글
신차장기렌트 초기비…
N
새글
25-12-18
상담신청
비밀글
울산메이크업샵 소개…
N
새글
25-12-18
빠른 상담신청
Location
오시는길
지하철
2
호선
신정네거리역
1
번출구
건물 뒷편 건양주차장
무료 주차
02.6095.1001
Clinic Hours
진료시간
평일:
AM 09:30 ~ PM 07:00
화목:
AM 09:30 ~ PM 08:30
토요
일:
AM 09:30 ~ PM 02:00
점심:
PM 12:30 ~ PM 02:00
토요일 점심시간 없음, 공휴일 및 일요일 휴진