자연치아를
지키는 모든 시작.
특히 40~50대로 가면 갈수록 면역력이
떨어져서 잇몸병에 훨씬 취약하게 됩니다.
소중한 치아를 잃지 않고 오래 건강하게
사용하기 위해서는 바로 치아 조직을
지탱하는 역할을 하는
잇몸을 관리하는 것이
가장 중요합니다.
서울큰치과의 자연치아를 살리는 의식하진정
치주치료로 더 편안하게 치료를 받아보세요.
이런 분들께 필요합니다.
- 01
- 양치할 때 피가 나는 분
- 02
- 치아가 자주 시린 분
- 03
- 잇몸이 간지러운 분
- 04
- 치아가 흔들리는 분
- 05
- 구취가 심한 분
치주염의 단계.
잇몸 치료 방법.

- 스케일링
- 치아의 표면과 잇몸 안에 붙어있는 치석과 치태를 치과용 기구를 이용해 제거하는 시술입니다.

- 치주소파술
- 스케일링으로 제거되지 못하는 잇몸 아래쪽 뿌리에 단단하게 부착된 치석 등의 유해한 침착물을 X-ray를 통해 진단 후 특수 기구를 통해 치료합니다.
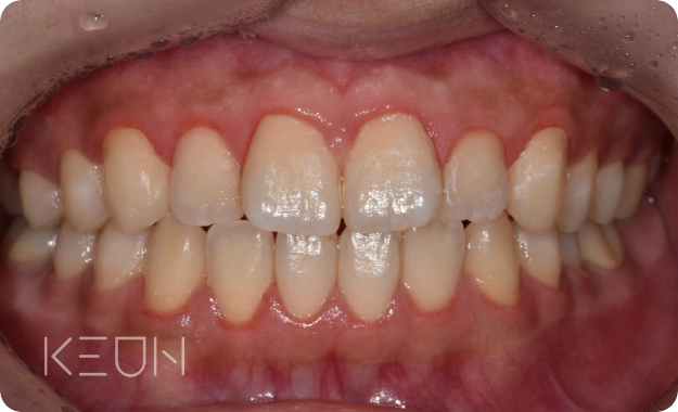
치주치료 전후사진.

- Before
로그인 후 확인 하실 수 있습니다!- After
자연치아를
살리는 마지막 방법.
신경치료 시 진행하는 마취와 통증으로 인한 부담으로 치료를 미루시는 분들이 많습니다.
자연치아는 자연적으로 치유하는 능력이 없기 때문에 하루 빨리 치과에 내원하여
치료를 진행하는 것이 비용, 통증, 치료기간 등에 대한 환자의 부담을 줄일 수 있습니다.
의식하진정 신경치료로 더 늦기 전에 자연치아를 지켜주세요.
이런 분들께 필요합니다.
- 01
- 충치가 신경까지 진행된 경우
- 02
- 치아가 부러진 경우
- 03
- 치아를 씌우기 위해 많이 깎아야 하는 경우
- 04
- 치아 뿌리에 염증이 생긴 경우
신경치료의 종류.

신경치료
충치로 인해 치수가 노출되었을 경우, 치수를 덜어내 통증을 없애고 그 자리에 멸균 재료로 충전하여 통증과 충치 확산을 막아주는 치료입니다.

재신경치료
치아의 뿌리에 재감염이 일어났거나 새로운 충치로 인해 염증이 생겼을 때 재신경치료를 통해 남아있는 염증을 없애주는 치료입니다.

치근단 절제술
신경치료 후 염증이 치유되지 않았을 때 뿌리 쪽 염증을 잇몸 절개를 통해 제거하는 수술입니다. 미세현미경을 이용하여 염증의 원인이 되는 치근단 부위를 잘라내고 MTA라는 특수 충전재료로 뿌리 끝을 충전합니다.

치아재식술
재신경치료를 통해서도 회복이 안되는 치아이거나 또는 심한 충치와 치주질환으로 치아 뿌리 끝까지 염증이 내려온 경우 시행하는 치료입니다. 병든 치아를 발치해 뿌리 쪽 염증을 제거한 후 발치한 치아를 다시 심는 고난도 술식입니다.
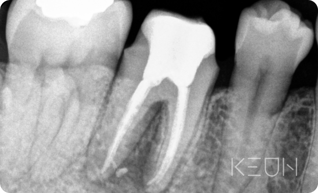
신경치료 전후사진.

- Before

- After
*모든 치료전/후 사진은 환자분의 동의하에 촬영 및 게시되었습니다.
우리만의
방식으로 진료합니다.
대표원장 상담
- • 혈압, 당도, 설압 측정
• 전신질환 체크
• 의식하진정 주의사항 교육
• 동의서 작성
치료 당일 정밀검사
- • 모니터링 장비로 혈압,
맥박, 산소포화도 측정
• 정밀 3차원 CT 및
X-RAY 촬영
• 공복 상태 체크
치주/신경치료
- • 무통마취 장비로
아프지 않은 마취
• 편안하고 부담없는
의식하진정 치주/신경치료
회복 후 귀가
- • 회복실에서 회복
• 주의사항 교육
• 보호자 동행 귀가