당신의 소망은 무엇인가요?
여러 개의 충치를 한꺼번에 치료할 수 있는 경우는 많지 않지만 충치의 상태와 직장이나 개인 상황에 따라
한번에 충치 치료를 받아야 하는 경우가 생깁니다.
쾌적하고 편안한 일상에 대한 바람을 충족시켜드리기 위해 서울큰치과에서는
안전한 의식하진정요법으로 다수의 우식을 치료하고 있습니다.
-
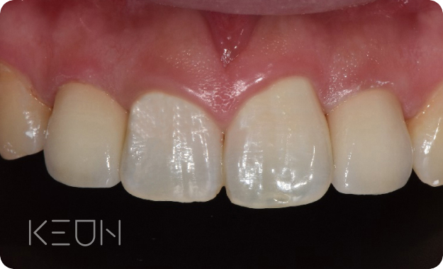
- Before
-
로그인 후 확인 하실 수 있습니다! - After
-
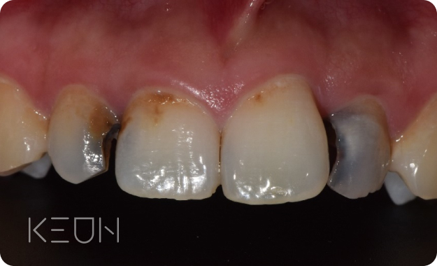
- Before
-
로그인 후 확인 하실 수 있습니다! - After
충치치료 전
CT를 촬영하는 이유.
#정밀한 스캐닝
#낮은 방사선량
#오차 최소화
눈에 잘 보이는 충치는 육안과 파노라마로도 충분히 진단이
가능하지만 치아 사이에 발생한 충치는 발견하기 어렵습니다.
3차원 CT를 통해 치아의 뿌리와 신경의 위치, 충치의 위치 등을
정확히 파악 후 치료할 수 있습니다.
당신의 소망을
이루는 방법.
레진치료
충치를 제거하고 난 후 손실된 부위에 레진을 바로 메우는 방법

- Before
로그인 후 확인 하실 수 있습니다!- After
인레이
충치 범위가 크고 눈에 띄는 부위의 치료에 적합

- Before
로그인 후 확인 하실 수 있습니다!- After
크라운
광범위한 치아의 손상 시 치아의 머리 부분을 전체적으로 씌우는 방법

- Before
로그인 후 확인 하실 수 있습니다!- After
*모든 치료전/후 사진은 환자분의 동의하에 촬영 및 게시되었습니다.
우리만의 방식으로 진료합니다.
대표원장 상담
- • 혈압, 당도, 설압 측정
• 전신질환 체크
• 의식하진정법 주의사항 교육
• 동의서 작성
치료 당일 정밀검사
- • 모니터링 장비로 혈압,
맥박, 산소포화도 측정
• 정밀 3차원 CT 및
X-RAY 촬영
• 공복 상태 체크
당일 충치/신경치료
- • 무통마취 장비로
아프지 않은 마취
• 빠르고 편안한
당일 의식하진정
충치/신경치료
회복 후 귀가
- • 회복실에서 회복
• 주의사항 교육
• 보호자 동행 귀가